Looking For Anything Specific?

Fistula Perianal : Fístula Perianal - Salud y Bienestar - Taringa! : A perianal fistula is a severe lesion that develops around a dog's anus.

Fistula Perianal : Fístula Perianal - Salud y Bienestar - Taringa! : A perianal fistula is a severe lesion that develops around a dog's anus.. Use of mr imaging for diagnosis. It can also result in a recurring abscess. Perianal fistulas can cause a great deal of pain and discomfort in your dog. A fistula is an abnormal in perianal fistula disease, there is often more than one lesion. Comparison of two instruments and assessment of the role of hydrogen peroxide injection.

A fistula typically results from a perianal abscess that has been drained. It is the most commonly observed symptomatic condition by colorectal surgeons. Dogs that experience a perianal fistula may also have chronic diarrhea as a result of inflammatory bowel disease. Perianal abscess — infobox disease name 2010. Role of transcutaneous perianal ultrasonography in evaluation of fistulas in ano.

Perianal Fistula Resection in Dogs - Conditions Treated ...
Perianal Fistula Resection in Dogs - Conditions Treated ... from images.wagwalkingweb.com
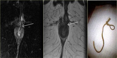
Learn about perianal fistula, a painful opening in the skin around the anus. ↵ hussain sm, stoker j, schouten wr, hop wcj, lameris js. Perianal fistula, fistula in ano, mri perianal fistula introduction the primary goal of surgery in the perianal fistula is to excise the primary opening, any associated tracts, ramifications. In this review we will address the anatomy. Preoperative mr can help to prevent recurrence. Furthermore, the inflammation may be transmural, penetrating to the muscularis or serosal layers of the gi tract (fig. Perianal fistulas can cause a great deal of pain and discomfort in your dog. The result is chronic, persistent draining.

Dogs that experience a perianal fistula may also have chronic diarrhea as a result of inflammatory bowel disease.

The lesions vary in severity but at first appear as small oozing holes in the skin. Perianal fistulas can cause a great deal of pain and discomfort in your dog. Dogs that experience a perianal fistula may also have chronic diarrhea as a result of inflammatory bowel disease. Perianal fistula is a common disorder that often recurs because of infection that was missed at surgery. Learn about perianal fistula, a painful opening in the skin around the anus. Comparison of two instruments and assessment of the role of hydrogen peroxide injection. Yes, perianal fistula can be treated without surgery. Fístula en herradura conducto anormal, semicircular, en la región perianal con ambos orificios. A fistula typically results from a perianal abscess that has been drained. Find out more about causes, symptoms and treatment options. Endosonographic evaluation of perianal fistulas and abscesses: Role of transcutaneous perianal ultrasonography in evaluation of fistulas in ano. Ayurved recommends ksharsutra treatment for perianal fistula and other similar problems like pilonidal sinus etc.

It can also result in a recurring abscess. Perianal abscess — infobox disease name 2010. La fistula anal, o fistula perianal consiste en la existencia de una conexión anormal que se sitúa entre la superficie interna del canal anal, y puede afectar la piel que se encuentra rodeando el área anal. Dogs that experience a perianal fistula may also have chronic diarrhea as a result of inflammatory bowel disease. Perianal fistula is a common disorder that often recurs because of infection that was missed at surgery.

FÍSTULA PERIANAL EN PERROS ~ Clínica Veterinaria El Guirre
FÍSTULA PERIANAL EN PERROS ~ Clínica Veterinaria El Guirre from 1.bp.blogspot.com
Fístula en herradura conducto anormal, semicircular, en la región perianal con ambos orificios. Dogs that experience a perianal fistula may also have chronic diarrhea as a result of inflammatory bowel disease. La fistula anal, o fistula perianal consiste en la existencia de una conexión anormal que se sitúa entre la superficie interna del canal anal, y puede afectar la piel que se encuentra rodeando el área anal. Comparison of two instruments and assessment of the role of hydrogen peroxide injection. Perianal fistula is a frequent complication and one of the subclassifications of crohn disease (cd). It is the most commonly observed symptomatic condition by colorectal surgeons. It can also result in a recurring abscess. Perianal abscess — infobox disease name 2010.

Fístula en herradura conducto anormal, semicircular, en la región perianal con ambos orificios.

In this review we will address the anatomy. Find specific details on this topic and related topics from the merck vet manual. A fistula is an abnormal in perianal fistula disease, there is often more than one lesion. Yes, perianal fistula can be treated without surgery. Endosonographic evaluation of perianal fistulas and abscesses: The result is chronic, persistent draining. Dogs that experience a perianal fistula may also have chronic diarrhea as a result of inflammatory bowel disease. Perianal fistula is a frequent complication and one of the subclassifications of crohn disease (cd). A fistula typically results from a perianal abscess that has been drained. The lesions vary in severity but at first appear as small oozing holes in the skin. Learn about perianal fistula, a painful opening in the skin around the anus. Preoperative mr can help to prevent recurrence. Find out more about causes, symptoms and treatment options.

Learn about the veterinary topic of perianal fistula in dogs. Yes, perianal fistula can be treated without surgery. In this review we will address the anatomy. Use of mr imaging for diagnosis. A fistula typically results from a perianal abscess that has been drained.

Gastroenterology Education and CPD for trainees and ...
Gastroenterology Education and CPD for trainees and ... from www.gastrotraining.com
Find out more about causes, symptoms and treatment options. In this review we will address the anatomy. The result is chronic, persistent draining. Find specific details on this topic and related topics from the merck vet manual. La fistula anal, o fistula perianal consiste en la existencia de una conexión anormal que se sitúa entre la superficie interna del canal anal, y puede afectar la piel que se encuentra rodeando el área anal. On completion of this article, the reader should be able to summarize the diagnosis and management of acute perirectal. Use of mr imaging for diagnosis. A fistula is an abnormal in perianal fistula disease, there is often more than one lesion.

Perianal fistula is a frequent complication and one of the subclassifications of crohn disease (cd).

Perianal fistula is a common disorder that often recurs because of infection that was missed at surgery. Furthermore, the inflammation may be transmural, penetrating to the muscularis or serosal layers of the gi tract (fig. Use of mr imaging for diagnosis. Learn about perianal fistula, a painful opening in the skin around the anus. A fistula typically results from a perianal abscess that has been drained. The lesions vary in severity but at first appear as small oozing holes in the skin. A fistula is an abnormal in perianal fistula disease, there is often more than one lesion. Comparison of two instruments and assessment of the role of hydrogen peroxide injection. La fistula anal, o fistula perianal consiste en la existencia de una conexión anormal que se sitúa entre la superficie interna del canal anal, y puede afectar la piel que se encuentra rodeando el área anal. Perianal and perirectal abscesses are common anorectal problems. ↵ hussain sm, stoker j, schouten wr, hop wcj, lameris js. It can be caused by genetics, allergic skin disease or immune system problems. Perianal abscess — infobox disease name 2010.

It is the most commonly observed symptomatic condition by colorectal surgeons fistula. Perianal fistula is a frequent complication and one of the subclassifications of crohn disease (cd).

Posting Komentar

0 Komentar